Tratamento Estético

Lentes de Contato Dental

Transforme seu sorriso com lentes de contato dental, uma solução estética moderna e eficaz para dentes perfeitos.

Resultado Natural
Durabilidade
Procedimento Seguro
Lentes de Contato Dental

O que são Lentes de Contato Dental?

As lentes de contato dental são laminados ultrafinos de porcelana que são colados na superfície dos dentes para corrigir imperfeições e melhorar a estética do sorriso. São uma alternativa mais conservadora que as facetas tradicionais.

Com espessura de apenas 0,2 a 0,3mm, as lentes de contato dental preservam mais a estrutura natural do dente, oferecendo resultados estéticos excepcionais com um procedimento minimamente invasivo.

Benefícios das Lentes de Contato

  • Resultado natural e harmonioso
  • Preservação da estrutura dental
  • Alta resistência e durabilidade
  • Procedimento minimamente invasivo

Indicações das Lentes de Contato

Correção de Cor

Clareamento de dentes escurecidos ou manchados que não respondem ao clareamento convencional.

Alinhamento

Correção de pequenos desalinhamentos e espaços entre os dentes.

Forma e Tamanho

Correção de dentes com formato ou tamanho irregular.

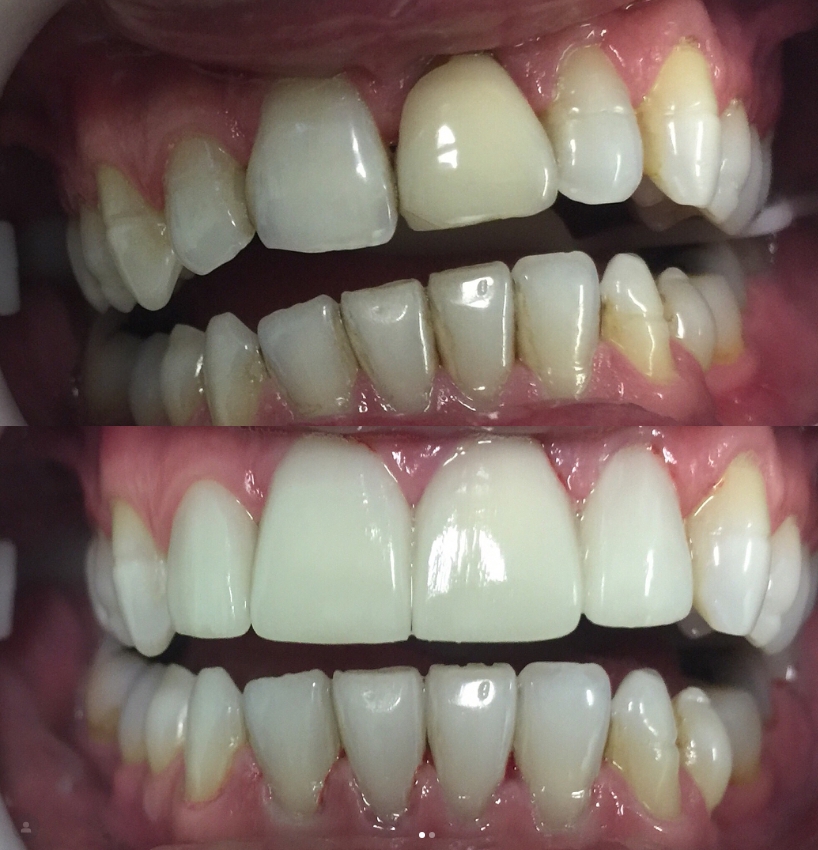
Resultados: Antes e Depois

Veja a transformação incrível que as lentes de contato dental podem proporcionar ao seu sorriso.

Antes e depois do tratamento com lentes de contato dental

Transformação completa com lentes de contato dental, proporcionando um sorriso natural e harmonioso.

Antes e depois - Caso 2 de lentes de contato dental

Caso 2: Correção de formato e alinhamento dental com lentes de contato.

Antes e depois - Caso 3 de lentes de contato dental

Caso 3: Harmonização completa do sorriso com resultados naturais.

Processo de Aplicação

Planejamento

Análise detalhada e planejamento digital do sorriso.

Preparação

Preparação mínima dos dentes para receber as lentes.

Aplicação

Colagem das lentes de contato nos dentes.

Cuidados com as Lentes de Contato

Higiene

  • Escovação regular
  • Uso de fio dental
  • Visitas periódicas ao dentista

Prevenção

  • Evitar morder objetos duros
  • Usar protetor bucal em esportes
  • Manter hábitos saudáveis
Agendar uma consulta agora